Can Alzheimer's Be Stopped?
Season 43 Episode 8 | 52m 51s Video has closed captioning.
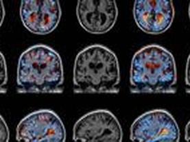
Alzheimer’s disease strikes at the core of what makes us human: our capacity to think, to love, and to remember. The disease ravages the minds of over 40 million victims worldwide, and it is one of the greatest medical mysteries of our time. Join investigators as they gather clues and attempt to reconstruct the molecular chain of events that ultimately leads to dementia.
Aired: 04/13/16
Buy Now:
Problems Playing Video? | Closed Captioning












